20年以上の経験豊富な旭川市旭町の歯医者さん

〒070-0831 北海道旭川市旭町1-5-841-31
旭川電気軌道(あさでんバス)4・5・14番
「旭町2条4丁目」バス停下車 徒歩2分(正光寺正面)

診療時間
9:00~13:00 ×
14:30~19:00 × ×

休診日:木曜午後、日曜・祝日

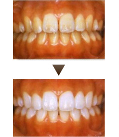
審美歯科治療の種類

あなたの理想の笑顔が実現できます。

審美歯科について

「審美歯科」かつて芸能人や一部の裕福な人だけの特殊な治療法と思われてきましたが、今やいろいろな治療方法が確立されて比較的短期的にかつお手軽な治療費用で無痛的に美しい素敵なSmileになれるようになってきました。

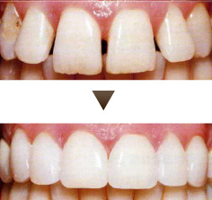
ダイレクトボンディング法

歯の色に合わせてまたは歯より白く特殊な専用樹脂を貼り付けプラズマライトで硬化させて歯と歯の隙間を埋めたり、色合を審美的に回復させる治療法です。

歯の状態によっては1回の治療で完成いたします。欠点として色合に着色が生じたり天然歯と色合いが合いづらかったり、ときとして亀裂が生じたり耐用年数があまり長くない場合があります。また耐用年数には個人差や使用頻度によって異なるため全て同じではありません。

ラミネートベニア・クラウン(ポーセレン、ハイブリッドセラミック)

歯の表面のエナメル質の一部を削ったり形を整えて歯型を取り着色の付きづらく色合いが天然歯に近似してなおかつプラーク(食べかすなどによる細菌の塊)が付着しにくいセラミックやセラミックとプラスチックに似た素材の特殊構造をもつハイブリッドセラミック等を作製しそれを特殊な接着材と接着法にて装着し歯と歯の隙間を埋めたり歯の形を変えたり、色合いを変えたりすることで今まで自信のなかった笑顔を魅力的に健康的なはつらつとした笑顔に変身させることができます。

ホワイトニング

歯科医院においては歯周疾患の治療時に、まず歯周病のチェックをし患者様に状態や自覚症状のない場所で今後ケアすべき場所などの説明や今後の生活やブラッシングにおいて注意すべき点などをアドバイスさせていただきますが、その際患者様が着色の除去を希望される方には無痛で歯を傷つけず着色を取ることができる特殊な器械を使って歯をきれいにさせていただいております。

またさらに歯の色自体を白く輝かせたいというかたにはオフィスホワイトニングやホームホワイトニングなどをご案内したりもしております。お尋ねになりたいことなどございましたら何なりスタッフや歯科医師にお気軽にご相談下さい。

 

プロセラクラウン

従来の金属焼付ポーセレンに変わるオールセラミック素材で出来ています。光の透過性が天然歯と近いため、どんな場所でも自然に見え、天然歯に合わせた色調を再現することも簡単にできます。

金属フレームを使っていないので、アレルギーのある方でも安心してお使いいただけます。長年の使用でも変色することがなく、歯ぐきへの馴染みも良いので、見た目も使い心地も自然なのが特徴です。

硬さとしなやかさを兼ね備えており、長年使っていても違和感が出ることはほとんどなく、力を加えても破損しない高い耐久性を持っています。

パソコン|モバイル
ページトップに戻る